Quem não deseja um sorriso radiante que exala confiança? As lentes odontológicas surgem como uma solução revolucionária para transformar sorrisos e elevar a autoestima. Com um procedimento simples e resultados duradouros, elas têm conquistado cada vez mais adeptos.
Neste artigo, vamos mergulhar no mundo das lentes odontológicas, explorando desde o que são até os cuidados necessários para manter seu sorriso sempre impecável. Se você já considerou melhorar a aparência dos seus dentes, este é o guia perfeito para você.
Quer conquistar um sorriso dos sonhos com lentes odontológicas em Belo Horizonte? Agende uma consulta com Hitoshi BH e transforme seu sorriso!
Prepare-se para descobrir como as lentes odontológicas podem fazer a diferença em sua vida. Com informações detalhadas e dicas valiosas, você estará pronto para dar o próximo passo rumo ao sorriso dos seus sonhos.
O Que São Lentes Odontológicas?
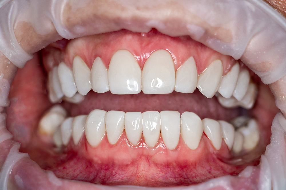
As lentes odontológicas, também conhecidas como facetas dentárias, são uma inovação fantástica no campo da odontologia estética. Elas consistem em finas camadas de porcelana ou resina que são aplicadas na superfície dos dentes, corrigindo imperfeições e proporcionando um visual mais harmonioso.
Muitas pessoas recorrem às lentes odontológicas para solucionar problemas como manchas, desalinhamentos, e pequenos desgastes. Imagine ter um sorriso de estrela de cinema com um procedimento minimamente invasivo – é exatamente isso que as lentes odontológicas oferecem.
Neste artigo, vamos explorar os diferentes tipos de lentes odontológicas disponíveis e como elas podem ser a chave para um sorriso mais atraente e confiante. Continue lendo para entender melhor essa solução e como ela pode beneficiar você.
Como as Lentes Odontológicas Funcionam?
A aplicação das lentes odontológicas é um processo meticuloso que requer habilidade e precisão do dentista. Apesar de parecer complexo, o procedimento é bastante simples e pode ser concluído em poucas visitas ao consultório.
Primeiramente, o dentista realiza uma consulta inicial para avaliar seu sorriso e discutir suas expectativas. Em seguida, os dentes são preparados com um leve desgaste, e uma moldagem é feita para criar as lentes personalizadas. Finalmente, as lentes são fixadas de maneira precisa, transformando seu sorriso de forma rápida e eficaz.

Fonte de reprodução:Pinterest
Neste artigo, vamos detalhar cada etapa do processo de aplicação das lentes odontológicas, desde a consulta inicial até a colocação final. Entenda como funciona essa mágica e como você pode se preparar para obter os melhores resultados possíveis.
Benefícios das Lentes Odontológicas
Os benefícios das lentes odontológicas vão muito além da estética. Além de proporcionar um sorriso mais bonito, elas também melhoram a funcionalidade dos dentes e aumentam a confiança pessoal.
Com as lentes odontológicas, é possível corrigir diversas imperfeições dentárias de forma rápida e eficaz. Desde manchas até desalinhamentos, elas oferecem uma solução completa para quem busca um sorriso perfeito.
Neste artigo, vamos explorar todos os benefícios das lentes odontológicas, destacando como elas podem transformar não apenas a aparência dos seus dentes, mas também sua qualidade de vida. Descubra por que tantas pessoas estão optando por esse tratamento inovador.
Cuidados com as Lentes Odontológicas
Manter as lentes odontológicas em perfeito estado requer cuidados específicos. Assim como qualquer outro tratamento odontológico, é essencial seguir algumas recomendações para garantir sua durabilidade e eficácia.
Os cuidados básicos incluem uma boa higiene bucal, visitas regulares ao dentista e evitar alimentos e bebidas que possam manchar as lentes. Com esses simples passos, você pode prolongar a vida útil das suas lentes e manter seu sorriso sempre radiante.
Neste artigo, vamos detalhar os cuidados necessários para quem possui lentes odontológicas, oferecendo dicas práticas e fáceis de seguir. Garanta que seu investimento em um sorriso perfeito dure muitos anos com estas orientações essenciais.
FAQ
1. O que são lentes odontológicas?
São lâminas finas de porcelana aplicadas na superfície dos dentes para corrigir cor, forma, tamanho e posição, proporcionando um sorriso mais bonito e harmonioso.
2. Quais são os benefícios das lentes odontológicas?
Melhoram a estética do sorriso, aumentam a autoestima, são duráveis e resistentes a manchas, e possuem alta durabilidade.
3. Quanto custa colocar lentes odontológicas?
O preço varia de acordo com o material, número de dentes e clínica escolhida. Consulte um dentista para um orçamento personalizado.
4. Como funciona o procedimento de aplicação das lentes odontológicas?
O dentista prepara os dentes, aplica as lentes e as fixa com cimento especial. O processo é indolor e geralmente rápido.
5. Quais são os cuidados necessários após a aplicação das lentes odontológicas?
Higiene bucal regular, visitas periódicas ao dentista e evitar alimentos muito duros ou pigmentados são essenciais para manter a beleza e durabilidade das lentes.

Fonte de reprodução:Pinterest
Conclusão
As lentes odontológicas são uma excelente opção para quem deseja transformar o sorriso e ganhar mais confiança. Com um processo relativamente simples e resultados impressionantes, elas podem ser a solução perfeita para você. Lembre-se de consultar um dentista especializado para avaliar suas necessidades e garantir que você receba o melhor tratamento possível.Então, está pronto para exibir um sorriso brilhante e confiante? Com as lentes odontológicas, esse sonho está mais perto do que nunca. E lembre-se: um sorriso bonito não é apenas uma questão de estética, mas também de bem-estar e autoestima. Invista em você e no seu sorriso!